Tìm bài viết trong Giảng Đường Y Khoa
Nhồi máu cơ tim cấp
Nhồi máu cơ tim (NMCT) cấp là một trong những nguyên nhân hàng đầu gây tử vong ở Mỹ và các nước châu Âu. Ước tính ở Mỹ có khoảng 1 triệu bệnh nhân nhập viện mỗi năm vì NMCT cấp và khoảng 200.000 đến 300.000 bệnh nhân tử vong hàng năm vì NMCT cấp. Ở Việt nam số bệnh nhân NMCT ngày càng có xu hướng gia tăng nhanh chóng.
Nếu như những năm 50, NMCT là bệnh rất hiếm gặp thì hiện nay hầu như ngày nào cũng gặp những bệnh nhân NMCT cấp nhập viện (tại Viện Tim mạch). Những tiến bộ trong chẩn đoán và điều trị NMCT cấp đã làm giảm đáng kể tỷ lệ tử vong do NMCT cấp.
Sự ra đời của đơn vị cấp cứu mạch vành (CCU) đầu những năm 60, tiếp đến là các thuốc tiêu huyết khối những năm 80 và hiện nay là can thiệp động mạch vành cấp cứu và những tiến bộ về các thuốc phối hợp đã làm cho tỷ lệ tử vong do NMCT cấp trên thế giới hiện nay giảm xuống chỉ còn khoảng dưới 7% so với trước đây là trên 30 %.
I. Sinh lý bệnh
Cơ tim được nuôi dưỡng bởi 2 động mạch vành (ĐMV) đó là ĐMV trái và ĐMV phải. ĐMV trái xuất phát từ lá vành trái của ĐMC và ĐMV phải xuất phát từ lá vành phải. Thực tế, ĐMV trái lại chia ra 2 nhánh lớn là nhánh liên thất trước (LAD) và nhánh mũ (LCx). Do vậy người ta thường gọi là 3 thân ĐMV để nuôi cơ tim.
NMCT được hiểu là do sự tắc nghẽn hoàn toàn một hoặc nhiều nhánh ĐMV để gây thiếu máu cơ tim đột ngột và hoại tử vùng cơ tim được tưới máu bởi nhánh ĐMV đó. Thủ phạm ở đây chính là mảng xơ vữa động mạch. nhưng vấn đề đặt ra là trong thực tế nếu mảng xơ vữa cứ phát triển âm thầm gây hẹp nhiều thậm chí tắc hoàn toàn ĐMV theo thời gian cũng không gây ra triệu chứng của NMCT cấp vì đã có sự thích nghi và phát triển của tuần hoàn bàng hệ.
Cơ chế chủ yếu của NMCT cấp là do sự không ổn định và nứt ra của mảng xơ vữa để hình thành huyết khối gây lấp toàn bộ lòng mạch. Nếu việc nứt ra này không lớn và hình thành cục máu đông chưa gây lấp kín toàn bộ lòng mạch, thì đó là cơn đau thắt ngực không ổn định trên lâm sàng.
II. Triệu chứng lâm sàng
A. Triệu chứng cơ năng
1. Cơn đau thắt ngực điển hình:
a. Đau như bóp nghẹt phía sau xương ức hoặc hơi lệch sang trái, lan lên vai trái và mặt trong tay trái cho đến tận ngón đeo nhẫn và ngón út. Nhìn chung cơn đau có tính chất giống cơn đau thắt ngực nhưng kéo dài hơn 20 phút và không đỡ khi dùng Nitroglycerin.
b. Một số trường hợp đau có thể lan lên cổ, cằm, vai, sau lưng, tay phải, hoặc vùng thượng vị.
c. Một số trường hợp NMCT có thể xảy ra mà bệnh nhân không hoặc ít cảm giác đau (NMCT thầm lặng), hay gặp ở bệnh nhân sau mổ, người già, bệnh nhân có tiểu đường hoặc tăng huyết áp.
d. Trong trường hợp đau lan nhiều ra phía sau lưng phải phân biệt với tách thành động mạch chủ.
2. Các triệu chứng khác đi kèm theo có thể gặp là: vã mồ hôi, khó thở, hồi hộp đánh trống ngực, nôn hoặc buồn nôn, lú lẫn... Các triệu chứng của rối loạn tiêu hoá thường gặp trong trường hợp NMCT sau dưới.
3. Đột tử cũng là một trong những thể hay gặp của NMCT cấp.
B. Triệu chứng thực thể
1. Khám thực thể trong NMCT cấp nói chung ít có giá trị để chẩn đoán xác định nhưng cực kỳ quan trọng để giúp chẩn đoán phân biệt với các bệnh khác, giúp phát hiện các biến chứng, tiên lượng bệnh cũng như là cơ sở để theo dõi bệnh nhân.
2. Những triệu chứng hay gặp là: nhịp tim nhanh, tiếng tim mờ, tiếng ngựa phi, huyết áp có thể tăng hoặc tụt, xuất hiện tiếng thổi mới ở tim, các rối loạn nhịp, ran ẩm ở phổi, các dấu hiệu của suy tim, phù phổi cấp.... Sau vài ngày có thể thấy tiếng cọ màng tim (hội chứng Dressler).
C. Các yếu tố lâm sàng có giá trị tiên lượng bệnh
Việc đánh giá tiên lượng bệnh nhân NMCT cấp đóng vai trò rất quan trọng giúp thầy thuốc có thái độ xử trí, theo dõi bệnh, cũng như giải thích cho bệnh nhân và gia đình tốt hơn. Những nghiên cứu lớn trên thế giới đã chỉ ra những yếu tố sau (xếp theo mức độ từ cao đến thấp) có tiên lượng xấu đối với NMCT cấp: (bảng 3-1 và 3-2)
1. Tuổi: càng cao tiên lượng càng xấu.
2. Huyết áp tâm thu tụt (dưới 90 mmHg).
3. Độ Killip càng cao tỷ lệ tử vong càng tăng.
4. Nhịp tim nhanh trên 100 chu kỳ /phút.
5. Vị trí của NMCT.
Bảng 3-1. Liên quan giữa độ Killip và tỷ lệ tử vong trong vòng 30 ngày.
| Độ Killip | Đặc điểm lâm sàng | % | Tỷ lệ tử vong trong 30 ngày (%) |
| I | Không có triệu chứng của suy tim trái | 85 | 5,1 |
| II | Có ran ẩm dưới 1/2 phổi, tĩnh mạch cổ nổi, có thể có tiếng T3 ngựa phi | 13 | 13,6 |
| III | Phù phổi cấp | 1 | 32,2 |
| IV | Sốc tim | 1 | 57,8 |
III. Cận lâm sàng
A. Điện tâm đồ (ĐTĐ): Là một trong những thăm dò rất có giá trị để chẩn đoán NMCT cấp và định khu NMCT. ĐTĐ cần được làm ngay khi bệnh nhân nhập viện và làm nhắc lại nhiều lần sau đó để giúp chẩn đoán cũng như theo dõi. Những thay đổi trên ĐTĐ biến thiên theo thời gian mới có nhiều giá trị. Các tiêu chuẩn của chẩn đoán NMCT cấp trên ĐTĐ là:
1. Xuất hiện sóng Q mới (rộng ít nhất 30 ms và sâu 0,20 mV) ở ít nhất 2 trong số các miền chuyển đạo sau: D2, D3 và aVF; V1 đến V6; D1 và aVL, hoặc
2. Xuất hiện đoạn ST chênh lên hoặc chênh xuống (trên 0,10 mV) ở ít nhất 2 trong số các miền chuyển đạo nói trên, hoặc
3. Sự xuất hiện mới bloc nhánh trái hoàn toàn trong bệnh cảnh lâm sàng nói trên.
Bảng 3-2. Liên quan giữa vị trí NMCT cấp và tỷ lệ tử vong.
|
|
| Tỷ lệ tử vong (%) | |
| Trong 30 ngày | Trong 1 năm | ||
| Đoạn gần của ĐMLTT (LAD) (NMCT trước rộng) | ST chênh lên ở V1-6, DI, aVL hoặc kèm theo bloc nhánh trái | 19,6 | 25,6 |
| Đoạn giữa của LAD | ST chênh lên V1-6, DI và aVL | 9,2 | 12,5 |
| Đoạn xa của LAD | ST chênh lên ở V1-4, hoặc D1, aVL và V5-6 | 6,8 | 10,2 |
| NMCT sau dưới rộng (Đoạn gần của ĐMV phải hoặc động mạch mũ) | ST chênh lên ở D2, D3, aVF và kèm theo một trong các chuyển đạo sau | 6,4 | 8,4 |
| NMCT sau dưới nhỏ (Đoạn xa của ĐMV phải hoặc ĐM mũ) | V1, V3R, V4R | 4,5 | 6,7 |
Lưu ý là: sóng Q thường xuất hiện trung bình sau 8-12 giờ, tuy nhiên trong một số trường hợp không có sóng Q mà chỉ có biến đổi của đoạn ST (NMCT không Q - hay NMCT dưới nội tâm mạc).
trường hợp NMCT thất phải thì cần làm thêm các chuyển đạo V3R đến V6R để tìm các biến đổi này.
Trong trường hợp kèm theo bloc nhánh phải hoàn toàn, việc chẩn đoán trên ĐTĐ trở nên khó khăn hơn. Nếu bệnh nhân có NMCT trước bên có thể thấy hình ảnh sóng T chênh đồng hướng với phức bộ QRS ở V1-V4.

Hình 3-1. NMCT sau dưới cấp.
B. Các men sinh học trong huyết thanh bệnh nhân
1. Creatine Kinase (CK): 3 iso-enzyme của men này là CK-MB, CK-MM, CK-BB đại diện cho cơ tim, cơ vân và não theo thứ tự trên. Bình thường CK-MB chiếm khoảng dưới5% lượng CK toàn phần (bình thường CK toàn phần trong huyết thanh từ 24-190 U/l ở 37oC và CK-MB dưới 24 U/l).
a. Men này bắt đầu tăng 3-12 giờ sau nhồi máu, đỉnh cao khoảng 24 giờ và trở về bình thường sau 48-72 giờ.
b. Lưu ý là men này có thể tăng trong một số trường hợp khác như viêm cơ tim, viêm màng ngoài tim, sau mổ tim, sau sốc điện. Nó cũng tăng trong một số bệnh khác như: chấn thương sọ não, chấn thương cơ (kể cả tiêm truyền), tiêu cơ vân, bệnh viêm cơ, suy thận mạn, tập thể lực quá mạnh...
2. Troponin: bao gồm Troponin I và T, là hai loại men có giá trị chẩn đoán cao và khá đặc hiệu cho cơ tim, hơn nữa nó còn có giá trị tiên lượng bệnh. Các men này bắt đầu tăng khá sớm sau NMCT (3-12 giờ) đạt đỉnh ở 24-48 giờ và tăng tương đối dài (5-14 ngày).
3. Lactate DeHydrogenase (LDH): bao gồm 5 iso-enzymes và gặp ở mọi mô trong cơ thể. LDH tăng từ 8-12 giờ sau nhồi máu, đạt đỉnh ở 24-48 giờ và kéo dài 10-14 ngày. Tỷ lệ LDH1/LDH2 trên 1 có ý nghĩa trong NMCT.
Giờ

Hình 3-2. Thay đổi các men sau NMCT cấp (theo giờ).
4. Các Transaminase SGOT và SGPT: ít đặc hiệu cho cơ tim. Tuy nhiên ở điều kiện của chúng ta thì xét nghiệm các men này cũng vẫn có giá trị nhất định. Trong NMCT thì SGOT tăng nhiều hơn SGPT.
C. Siêu âm tim: cũng rất có giá trị, đặc biệt trong những thể NMCT không Q hoặc có bloc nhánh. thường thấy hình ảnh rối loạn vận động vùng liên quan đến vị trí nhồi máu. Mức độ rối loạn từ giảm vận động, không vận động, vận động nghịch thường và phình thành tim. Siêu âm tim còn giúp đánh giá chức năng thất trái, các biến chứng cơ học của NMCT (thủng vách tim gây thông liên thất, hở van tim do đứt dây chằng), tràn dịch màng tim, huyết khối trong buồng tim...
D. Thăm dò phóng xạ tưới máu cơ tim: thường không cần dùng trong giai đoạn cấp của NMCT. Các thăm dò này có ích ở giai đoạn sau để đánh giá mức độ tưới máu cho từng vùng cơ tim và sự sống còn của cơ tim nhằm giúp ích cho chỉ định can thiệp mạch vành.
IV. Chẩn đoán phân biệt
A. Viêm màng ngoài tim: đau thường liên tục và cảm giác rát, đau thay đổi theo tư thế và nhịp thở, thường đau tăng khi nằm ngửa. Trong viêm màng ngoài tim cũng có thể có ST chênh lên nhưng là chênh lên đồng hướng ở các chuyển đạo trước tim và không có hình ảnh soi gương. Siêu âm có thể giúp ích cho chẩn đoán.
B. Viêm cơ tim cấp: là một chẩn đoán phân biệt khá khó khăn vì các triệu chứng lâm sàng cũng như ĐTĐ khá giống NMCT. Bệnh sử và khám lâm sàng cho thấy bệnh cảnh nhiễm trùng (đặc biệt là virus) và siêu âm tim có giảm vận động đồng đều giúp thêm chẩn đoán phân biệt.
C. Tách thành động mạch chủ: điển hình là đau dữ dội lan phía sau lưng. Nhiều khi tách thành ĐMC cũng gây ra NMCT khi nó ảnh hưởng đến ĐMC lên và gốc ĐMC. Siêu âm tim có thể thấy hình ảnh tách thành ĐMC nếu ở ĐMC lên. Siêu âm qua thực quản rất có giá trị chẩn đoán. Chụp cắt lớp vi tính (CT scan) hoặc chụp cộng hưởng từ là những thăm dò tốt giúp chẩn đoán xác định.
D. Nhồi máu phổi: thường đột ngột khó thở, đau ngực, ho ra máu mà không có phù phổi. ĐTĐ là hình ảnh tâm phế cấp với S1 Q3 (S sâu ở D1 và Q sâu ở D3). Chụp Xquang có thể thấy hình ảnh một đám mờ ở phổi và siêu âm tim không thấy có rối loạn vận động vùng.
E. Các bệnh cấp cứu bụng như thủng dạ dày, cơn đau dạ dày cấp, viêm tuỵ cấp, viêm túi mật, giun chui ống mật... cũng cần được phân biệt nhất là với NMCT cấp thể sau dưới.
V. Điều trị NMCT cấp
A. Điều trị ban đầu
1. Khẩn trương đánh giá tình trạng bệnh nhân và nên chuyển ngay đến những cơ sở có thể điều trị tái tưới máu. Kịp thời đánh giá các biến chứng nguy hiểm để khống chế (loạn nhịp, suy tim...). Bệnh nhân phải được vận chuyển bằng xe cứu thương và có nhân viên y tế đi cùng. Đồng thời thực hiện các biện pháp điều trị ban đầu.
2. Các biện pháp chung, ban đầu cho mọi bệnh nhân là:
a. Bệnh nhân phải được bất động tại giường.
b. Thở ôxy: với liều 2-4 lít/phút qua đường mũi vì trong NMCT cấp thường kèm theo thiếu ôxy. Một số trường hợp suy hô hấp nặng cần phải đặt nội khí quản và cho thở máy phù hợp.
c. Giảm đau đầy đủ: làm giảm sự tăng tiết cathecholamin trong máu và góp phần làm giảm nhu cầu ôxy cơ tim.
Morphin sulphat là thuốc được lựa chọn hàng đầu, liều dùng từ 2-4 mg tiêm tĩnh mạch sau đó nhắc lại sau 5-10 phút nếu bệnh nhân vẫn đau. Chú ý nhịp thở của bệnh nhân và nhịp tim. Nếu gây nhịp chậm có thể cho Atropin 0,5 mg tiêm TM.
d. Nitroglycerin (0,4 mg) ngậm dưới lưỡi, có thể nhắc lại sau mỗi 5 phút. cần chú ý huyết áp của bệnh nhân. Nếu huyết áp tối đa còn trên 90 mmHg là tốt. Tiếp sau đó cần thiết lập ngay đường truyền tĩnh mạch và truyền Nitroglycerin với tốc độ 10 mcg/phút, có thể chỉnh liều theo con số huyết áp của bệnh nhân. Nếu bệnh nhân huyết áp tụt thì không thể dùng Nitroglycerin, khi đó cần áp dụng ngay các biện pháp vận mạch tốt. Lưu ý là Nitroglycerin có thể gây nhịp chậm và không dùng khi có NMCT thất phải.
e. Cho ngay thuốc chống ngưng kết tiểu cầu: Aspirin cần cho ngay bằng đường uống dạng không bọc với liều 160 - 325 mg hoặc có thể cho bằng đường tiêm tĩnh mạch 500 mg. Có thể cho bằng dạng gói bột Aspegic. Nếu bệnh nhân có tiền sử loét dạ dày tá tràng đang tiến triển thì có thể thay bằng Ticlopidine (Ticlid) 250 mg x 2 viên/ngày hoặc Clopidogrel (Plavix) cho ngay 300 mg sau đó 75 mg/ngày. Các nghiên cứu gần đây cho thấy phối hợp giữa Aspirin và Ticlopidin hoặc Clopidogrel làm giảm đáng kể tỷ lệ tử vong.
f. Thuốc chống đông: Heparin tiêm thẳng TM liều 65-70 đv/kg sau đó duy trì liều 15-18 đv/kg/giờ. Heparin tự nó không làm giảm tỷ lệ tử vong do NMCT nhưng rất quan trọng nếu bệnh nhân được cho thuốc tiêu huyết khối hoặc can thiệp động mạch vành cấp. Dùng Heparin với thuốc tiêu huyết khối cần cho ngay 5000 đv tiêm TM sau đó truyền tĩnh mạch liều khoảng 1000 đv/giờ (trừ trường hợp cho Streptokinase thì không dùng Heparin phối hợp). Khi dùng Heparin cần điều chỉnh liều theo thời gian APTT sao cho thời gian này gấp 1,5 thời gian chứng (50-75 giây).
g. Thuốc chẹn bêta giao cảm: làm giảm tỷ lệ tử vong và giảm diện cơ tim bị nhồi máu hoại tử. Thuốc hay dùng là Metoprolol tiêm TM 5 mg sau đó nhắc lại mỗi 5 phút cho đến tổng liều là 15 mg, trong khi đó bắt đầu cho uống 25-50 mg. Các thuốc khác có thể dùng là Atenolol, Esmolol. Không dùng các thuốc này khi bệnh nhân có dấu hiệu suy tim nặng, nhịp tim chậm dưới 60, huyết áp tâm thu dưới 90 mmHg, bloc nhĩ thất độ cao, bệnh phổi tắc nghẽn, bệnh mạch ngoại vi nặng.
B. Điều trị tái tưới máu
Mục tiêu quan trọng nhất trong điều trị NMCT cấp là làm tái tưới máu (tái lưu thông ĐMV bị tắc) càng sớm càng tốt. Ba biện pháp điều trị tái tưới máu hiện nay là: dùng thuốc tiêu huyết khối, can thiệp (nong, đặt stent) động mạch vành cấp, mổ bắc cầu nối chủ-vành cấp. Việc điều trị sớm tái tưới máu đã làm giảm mức độ hoại tử cơ tim, giảm tỷ lệ tử vong và bảo tồn chức năng thất trái.
1. Lựa chọn phương pháp điều trị tái tưới máu: Việc lựa chọn phương pháp điều trị tái tưới máu ngay cho bệnh nhân NMCT cấp phụ thuộc vào nhiều yếu tố như thời gian đến viện, tình trạng bệnh nhân cụ thể, điều kiện trang thiết bị và trình độ của cơ sở y tế.
2. Thời điểm điều trị tái tưới máu: Các nghiên cứu đã chứng minh được là lợi ích càng lớn nếu tiến hành được tái tưới máu càng sớm. Nếu thời gian được tái tưới máu trong vòng 1 giờ đầu (kể từ khi đau) thì lợi ích là lớn nhất. Hiện nay, khi can thiệp ĐMV thì đầu được áp dụng ở nhiều trung tâm, thì thời gian để có được hiệu quả tốt nhất là trước 120 phút. Nói chung là trong vòng 12 giờ đầu thì vẫn còn chỉ định điều trị tái tưới máu. Nếu sau 12 giờ, mà vẫn còn tồn tại các triệu chứng thì vẫn có thể có lợi ích khi điều trị tái tưới máu (không phải là thuốc tiêu huyết khối).
3. Điều trị tái tưới máu mạch vành bằng các thuốc tiêu huyết khối:
a. Là phương pháp đơn giản và nên được lựa chọn hàng đầu. Các thử nghiệm lớn đã chứng minh các thuốc này làm giảm đáng kể tỷ lệ tử vong do NMCT cấp, giải quyết được 60 - 90 % các trường hợp. Nó chính là kỷ nguyên mới thứ hai trong điều trị NMCT cấp sau sự ra đời của các CCU.
b. Chỉ định thuốc tiêu huyết khối càng sớm càng tốt và tốt nhất trong vòng 6 giờ đầu, nếu bệnh nhân đến muộn hơn và trong vòng 12 giờ mà vẫn còn tồn tại dấu hiệu của hoại tử cơ tim lan rộng thì vẫn có thể dùng thuốc tiêu huyết khối .
c. Các thuốc này có một số chống chỉ định tương đối và tuyệt đối (Bảng 3-3).
Bảng 3-3. Chống chỉ định của thuốc tiêu huyết khối.
Chống chỉ định tuyệt đối |
| o Đang có bệnh hoặc thủ thuật gây chảy máu nặng. |
Chống chỉ định tương đối: |
| Huyết áp tối đa trên 180 mmHg. |
4. Các loại thuốc tiêu huyết khối:
a. Việc lựa chọn các thuốc tiêu huyết khối phải cân nhắc dựa vào hoàn cảnh thực tế và giá thành. Trong các thuốc trên, rt-PA được các tác giả nước ngoài ưa dùng nhưng giá thành khá cao. Streptokinase là thuốc cũng được dùng rộng rãi, giá thành rẻ hơn và tương đối ít tai biến.
Bảng 3-4. Các loại thuốc tiêu huyết khối và liều dùng.
| Các thuốc đặc hiệu với fibrin |
Alteplase (rt-PA): Tiêm thẳng TM 15 mg sau đó truyền TM 0,75 mg/kg (cho tới 50 mg) trong vòng 30 phút, tiếp theo 0,5 mg/kg (cho tới 35 mg) truyền TM trong 60 phút tiếp. Liều tối đa 100 mg trong 90 phút. |
Các thuốc không đặc hiệu với fibrin |
Streptokinase (SK): Truyền TM 1,5 triệu đơn vị trong vòng 60 phút. |
b. Khi dùng các thuốc tiêu huyết khối bắt buộc phải phối hợp với Heparin vì các nghiên cứu đã chứng minh là làm giảm nguy cơ bị tắc lại mạch sau dùng thuốc tiêu huyết khối. Heparin được dùng trước và sau khi dùng thuốc tiêu huyết khối 4 giờ thì truyền tiếp Heparin với liều 1000 đv/giờ trong vòng 48 - 72 giờ tiếp.
Riêng đối với Streptokinase thì không cần dùng Heparin phối hợp vì thuốc này tác động không đặc hiệu với hệ fibrin nên có thể gây chảy máu nhiều nếu phối hợp Heparin.
c. Biến chứng của các thuốc tiêu huyết khối: quan trọng nhất là chảy máu. Chảy máu nội sọ là biến chứng nguy hiểm nhất (gặp ở khoảng 0,5% đối với Streptokinase và 0,7% đối với tPA) , ngoài ra có thể gây chảy máu nhiều bất kể nơi nào. Cần theo dõi thời gian aPTT. Nếu bị mất máu nhiều phải truyền máu, huyết tương tươi.
5. Can thiệp động mạch vành trong giai đoạn cấp cứu (nong, đặt Stent): Mặc dù thuốc tiêu huyết khối là tiến bộ đáng kể, nhưng do nhiều chống chỉ định và số bệnh nhân đến viện khá muộn nên tỷ lệ bệnh nhân được dùng thuốc tiêu huyết khối không cao. Hiện nay đã có nhiều nghiên cứu chứng minh tính ưu việt của phương pháp can thiệp động mạch vành trong giai đoạn cấp. Tuy nhiên, nó tuỳ thuộc nhiều vào trang thiết bị và kinh nghiệm của thầy thuốc can thiệp.
a. Chỉ định: Can thiệp ĐMV cấp chỉ nên chỉ định ở những bệnh nhân có chống chỉ định của thuốc tiêu huyết khối hoặc có tình trạng huyết động không ổn định (sốc tim) hoặc có rối loạn nhịp tim. Hiện nay, đối với một số trung tâm có kinh nghiệm và có trang thiết bị tốt, người ta thường có xu hướng can thiệp ĐMV thì đầu (primary intervention) (tức là can thiệp ngay lập tức khi bệnh nhân đến viện và chưa dùng thuốc tiêu sợi huyết). Các khuyến cáo gần đây đã có xu hướng ủng hộ cho việc can thiệp này.
b. Can thiệp khi dùng thuốc tiêu huyết khối thất bại: tức là sau khi dùng thuốc tiêu huyết khối mà bệnh nhân vẫn còn đau ngực, lâm sàng không ổn, ST vẫn chênh lên trên ĐTĐ thì có chỉ định can thiệp ĐMV.
c. Khi can thiệp động mạch vành cấp cần dùng phối hợp với các thuốc:
- Aspirin 325 mg/ngày kéo dài mãi, phối hợp Ticlopidin (Ticlid) 250 mg x 2 lần ngày trong nửa tháng hoặc Clopidogrel (Plavix) 75 mg/ngày. Vai trò của Clopidogrel ngày càng được nhấn mạnh vì tính hiệu quả và khá an toàn của nó. Những nghiên cứu gần đây cho thấy lợi ích của Plavix càng được khẳng định khi dùng kéo dài đến 9 tháng.
- Các thuốc ức chế thụ thể GP IIb/IIIa (ReoPro, Aggrastat...) là những thuốc chống ngưng kết tiểu cầu triệt để. Khi dùng cùng với can thiệp ĐMV cấp làm giảm đáng kể tỷ lệ tai biến do can thiệp và tỷ lệ tắc mạch sau can thiệp. Tuy nhiên các thuốc này khá đắt tiền.
- Heparin là cần thiết trong khi can thiệp. Nếu can thiệp kết quả thành công có thể xét dừng Heparin sau can thiệp.
6. Mổ làm cầu nối chủ - vành cấp cứu:
Chỉ được chỉ định khi bệnh nhân đau ngực tái phát sau dùng tiêu huyết khối hoặc động mạch vành không thích hợp cho can thiệp (tổn thương nhiều thân, tổn thương thân chung, tổn thương phức tạp...), hoặc can thiệp thất bại, hoặc bệnh nhân có những biến chứng cơ học.v.v...

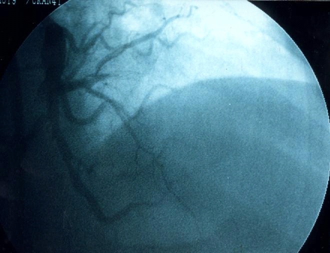
Hình 3-3. Nong và đặt Stent động mạch liên thất trước.
C. Điều trị tiếp theo
1. Các biện pháp chung:
a. Chế độ vận động: Với những bệnh nhân trong giai đoạn cấp hoặc chưa ổn định cần bất động tại giường. Tuy nhiên nếu những bệnh nhân được điều trị tái tưới máu tốt mà không còn đau ngực thì sau đó 12 giờ có thể cho cử động nhẹ tại giường và ngồi dậy nhẹ nhàng tại giường. Sau 24 giờ có thể cho vận động nhẹ nhàng và sau 48 giờ có thể cho đi bộ nhẹ tại phòng rồi tăng dần mức vận động để trở về bình thường.
b. Chế độ dinh dưỡng: Trong giai đoạn cấp (đau nhiều) thì không nên cho ăn mà nên dinh dưỡng bằng đường truyền tĩnh mạch. Khi bệnh nhân đỡ cần chú ý chế độ ăn đủ năng lượng (1200 - 1800 calorie/ngày) ít cholesterol và muối. Bệnh nhân NMCT cần tránh táo bón và nên cho thêm các nhuận tràng.
c. An thần:
nên tránh thăm hỏi nhiều của người nhà trong giai đoạn cấp. Nếu bệnh nhân lo lắng quá có thể cho thêm một chút an thần.
2. Các thuốc:
a. Các thuốc chống ngưng kết tiểu cầu (Aspirin, Ticlopidin, Clopidogrel): đặc biệt quan trọng.
Liều Aspirin từ 75-325 mg/ngày nhưng nên dùng trên 160 mg/ngày.
b. Các thuốc chống đông: Heparin cần thiết khi có dùng thuốc tiêu huyết khối và khi can thiệp ĐMV. Heparin không nên dùng kéo dài trên 5 ngày. Các thuốc kháng vitamin K đường uống chỉ dùng khi có kèm theo rung nhĩ hoặc có phình vách thất gây cục máu đông.
c. Các Nitrates: mặc dù không làm giảm tỷ lệ tử vong nhưng chúng cải thiện tình trạng thiếu máu cục bộ, cải thiện triệu chứng và suy tim nếu có.
d. Các thuốc chẹn beta giao cảm: nên tiếp tục kéo dài (nếu không có các chống chỉ định).
e. Các thuốc ức chế men chuyển (ƯCMC): Nên cho sớm và bắt đầu liều nhỏ (trong vòng 24 giờ đầu). Chú ý huyết áp của bệnh nhân. Thuốc ƯCMC làm giảm tỷ lệ tử vong, bảo tồn chức năng thất trái. Nên dùng bắt đầu bằng thuốc có tác dụng ngắn như Captopril 6,25 mg trong 24 giờ đầu sau đó đánh giá tình trạng và điều chỉnh liều hoặc thay các thuốc ƯCMC khác có thời gian tác dụng kéo dài hơn.
f. Điều trị tích cực các yếu tố nguy cơ trong đó chú ý điều trị tốt đái tháo đường, rối loạn mỡ máu (nếu có) kèm theo.
D. Phục hồi chức năng sau NMCT
1. Giai đoạn ở tại bệnh viện:
Đối với những bệnh nhân ổn định cần sớm phục hồi chức năng bằng cách cho bệnh nhân sớm vận động nhẹ. Ngày thứ ba có thể cho bệnh nhân đi lại nhẹ nhàng trong phòng. trước khi ra viện cần giáo dục bệnh nhân về chế độ tập luyện, loại bỏ yếu tố nguy cơ, điều chỉnh chế độ ăn và chế độ thuốc men hàng ngày cho bệnh nhân.
2. Giai đoạn ở nhà:
Bệnh nhân cần đi bộ sớm tối thiểu mỗi ngày 2-3 lần, mỗi lần 20-30 phút và duy trì nhịp tim không tăng quá 20 nhịp so với nhịp tim lúc nghỉ. Để khẳng định bệnh nhân có thể trở về cuộc sống sinh hoạt bình thường, bệnh nhân cần được làm nghiệm pháp gắng sức để đánh giá. Việc giáo dục bệnh nhân vẫn đặc biệt quan trọng trong giai đoạn này về chế độ sinh hoạt và thuốc men.
Thực hành BỆNH TIM MẠCH NGUYỄN LÂN VIỆT (Chủ biên)
Tài liệu tham khảo
1. Falk E, Shah PK, Fuster V. Coronary plaque disruption. Circulation 1995;92:657-671.
2. Flather M, Pipilis A, Collins R, et al. Randomized controlled trial of oral captopril, of oral isosorbide mononitrate and of intravenous magnesium sulphate started early in acute myocardial infarction: safety and haemodynamic effects. ISIS-4 (Fourth International Study of Infarct Survival) Pilot Study Investigators. Eur Heart J 1994;15:605-619.
3. GUSTO Investigators. An international randomized trial comparing four throm-bolytic strategies for acute myocardial infarction. N Engl J Med 1993;329: 673682.
4. Lauer MA, Lincoff AM. Acute myocardial infarction. In: Marso SP, Griffin BP, Topol EJ, eds. Manual of Cardiovascular Medicine. Philadelphia: LippincottRaven, 2000.
5. Lee K, WoodliefL, Topol E, et al. Predictors of 30-day mortality in the era of reperfusion for acute myocardial infarction. Circulation 1995;91:1659-1668.
6. Lincoff A, Topol E, CaliffR, et al. Significance of a coronary artery with thrombolysis in myocardial infarction grade 2 flow "patency". Am J Cardiol 1995;75: 871-876.
7. Lincoff AM, Califf RM, Moliterno DM, et al. Complementary clinical benefits of coronary-artery stenting and blockade of platelet glycoprotein ub/Iha receptors. N Engl J Med 1999;341:319-327.
8. Mark D, Hlatky M, CaliffR, et al. Cost effectiveness of thrombolytic therapy with tissue plasminogen activator as compared with streptokinase for acute myocardial infarction. N Engl J Med 1995;332:1415-1424.
9. Ryan TJ, Anderson JL, Antman EM, et al. ACC/AHA guidelines for the management of patients with acute myocardial infarction: a report of the American College of Cardiology/American Heart Association Task Force on Practice Guidelines (Committee on Management of Acute Myocardial Infarction). J Am CoIl Cardiol 1996;25:1328-1428.
10. Sgarbossa EB, Wagner G. Electrocardiography. In: Topol EJ, ed. Textbook of cardiovascular medicine. New York: Lippincott-Raven, 1998.
11. The EPILOG Investigators. Platelet glycoprotein IIb/IIIa receptor blockade and low-dose heparin during coronary revascularization during percutaneous coronary revascularization. N Engl J Med 1997;336:1689-1696.
12. The GUSTO IIb Angioplasty Sub study Investigators. A clinical trial comparing primary coronary angioplasty with tissue plasminogen activator for acute myocardial infarction. N Engl J Med 1997;336: 1621-1628.
13. The GUSTO III Investigators. A comparison of reteplase with alteplase for acute myocardial infarction. N Engl J Med 1997;337:1115-1123.
14. Topol EJ, Van de Werf FJ. Acute myocardial infarction: early diagnosis and management. In: Topol EJ, ed. Textbook of Cardiovascular Medicine. New York: LippincottRaven, 1998.
15. White RD, Van de Werf FJ. Thrombolysis for acute myocardial infarction. Circulation 1998;97:1632-1646.
16. Woods K', Fletcher S. Long-term outcome after intravenous magnesium sulphate in suspected acute myocardial infarction: the second Leicester Intravenous Magnesium Intervention Trial (LIMIT-2). Lancet 1994;343:516-S19.
theo benhhoc
0 nhận xét:
Đăng nhận xét
Cám ơn bạn đã đọc bài viết. Bạn có ý kiến, tư liệu hoặc thông tin hay hơn hãy để lại vài lời để cùng chia sẻ với mọi người.
Xin lưu ý bạn, các nhận xét không có tinh thần góp ý xây dựng hay giúp đỡ nhau cùng tiến bộ sẽ bị xóa mà không cần báo trước.
Thêm vào đó, bạn không nhất thiết phải là thành viên của Google Blogger hay các mạng được liệt kê phía dưới mới được nhận xét, hãy sử dụng anonymous (Ẩn danh) nếu bạn không muốn để lại thông tin cá nhân của mình.
Nội dung gõ bằng tiếng Việt có dấu rõ ràng sẽ dễ chiếm thiện cảm hơn cả.
giangduongykhoa.net
